当乳腺癌患者在术后十年被宣告临床治愈,为何仍有15-20%会经历致命复发?那些潜伏在骨髓、肺部的休眠癌细胞,究竟如何突破沉寂、卷土重来?
导语:当乳腺癌患者在术后十年被宣告临床治愈,为何仍有15-20%会经历致命复发?那些潜伏在骨髓、肺部的休眠癌细胞,究竟如何突破沉寂、卷土重来?
休眠癌细胞复发机制迷雾重重,转录因子OVOL1同时调控上皮化与DNA损伤?
乳腺癌远处转移是90%患者死亡的根本原因,而播散肿瘤细胞(disseminated tumor cells, DTCs)进入可逆性生长停滞的休眠状态,是复发延迟15-20年的关键机制。目前学界对休眠维持与退出的分子密码认知严重不足:已知p38-MAPK通路激活可诱导休眠,自噬能支持休眠细胞存活,但何种信号网络能同时控制细胞表型转换、氧化应激及基因组稳定性三大核心环节,仍是未解之谜。现有研究多聚焦EMT(epithelial-mesenchymal transition, 上皮-间质转化)促转移,但其逆向过程MET(mesenchymal-epithelial transition, 间质-上皮转化)在休眠中的作用长期被忽视。OVOL1/2作为锌指转录抑制因子,虽在皮肤毛囊分化中功能明确,但在肿瘤微环境(tumor microenvironment, TME)中如何通过激素-生长因子轴响应调控转录程序,进而影响DTCs命运,尚缺乏系统研究。
2025年4月,Science Signaling发表了一篇题为"Re-epithelialization of cancer cells increases autophagy and DNA damage: Implications for breast cancer dormancy and relapse"的文章,首次揭示OVOL1/2-C1ORF116轴通过"自噬-氧化还原-DNA损伤"三重串联反应,构建休眠维持与退出的分子开关。该研究颠覆传统认知:上皮化不仅抑制增殖,更通过激活自噬受体C1ORF116降解硫氧还蛋白(thioredoxin, TRX)等抗氧化物质,使ROS(reactive oxygen species, 活性氧)累积至DNA氧化损伤阈值,为休眠癌细胞"定时炸弹"式的突变积累提供了直接证据,为阻断复发窗口期提供了精准干预靶点。

多维度功能验证与临床数据挖掘结合,三维培养体系如何模拟休眠微环境?
本研究是一项整合计算生物学、分子细胞生物学及临床基因组学的机制转化研究,研究采用递进式实验策略:首先在MDA-MB-231高度间质型乳腺癌细胞系中构建强力霉素(doxycycline, DOX)诱导的OVOL1/2过表达(inducible overexpression, iOE)模型,筛选出未知靶基因C1ORF116;继而通过酵母双杂交(yeast two-hybrid, Y2H)筛选与免疫共沉淀鉴定C1ORF116与LC3家族蛋白及抗氧化酶的直接互作;最终在4NQO诱导的原位瘤模型与MMTV-PyMT转基因小鼠中验证该轴的体内功能。
样本纳入方面,细胞实验采用MCF10A正常乳腺上皮、MDA-MB-231及BT-549三阴性乳腺癌细胞系;动物实验使用NOD-scid-gamma(NSG)小鼠构建脂肪垫移植瘤模型;临床数据整合METABRIC(1980例)、TCGA-BRCA(1084例)及Rosano等建立的内分泌治疗诱导休眠模型(含MCF7细胞长期雌激素剥夺与TAM处理时序数据)。干预措施分为四层:1)DOX诱导OVOL1/2或C1ORF116表达;2)使用bafilomycin A1阻断自噬流或MG132抑制蛋白酶体;3)采用carboplatin化疗激活DNA损伤应答(DNA damage response, DDR)通路;4)应用ATM抑制剂KU-60019、ATR抑制剂AZ20、DNA-PK抑制剂NU7441及p38抑制剂SB203580解析激酶层级关系。
主要评价指标包括细胞增殖速率(MTT法OD值)、迁移速度(μM/min)、侵袭能力(invadopodia数量/细胞)、自噬体数量(Cyto-ID染色阳性点/细胞)、ROS水平(DCFDA荧光强度)、γH2AX核染色模式(pan-nuclear vs focal)、8-氧鸟嘌呤(8-oxoguanine)浓度及无瘤生存期(tumor-free survival)。次要终点涵盖C1ORF116基因拷贝数变异(copy number variation, CNV)、启动子甲基化程度、代谢物谱变化(taurine、glutathione等)及DDR激酶互作网络重塑。
OVOL1/2-C1ORF116轴重塑氧化应激与DNA修复,休眠癌细胞如何积累突变?
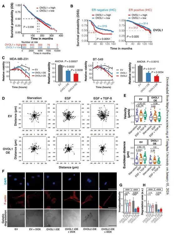
核心发现显示,OVOL1在ER阴性乳腺癌中表达升高且与不良预后相关(图1A-B),但其iOE却使MDA-MB-231细胞增殖抑制超50%(图1C),迁移速度降低60-70%(图1D-E),侵袭体形成减少80%(图1F-H),在体肿瘤生长延缓但转移潜能未完全阻断。
.jpg)
图1 OVOL1与ER阴性乳腺癌患者不良预后相关,其过表达降低癌细胞活性、侵袭和迁移
机制层面,RNA-seq与质谱鉴定C1ORF116为OVOL1/2关键下游靶标,其表达在内分泌治疗诱导的休眠模型中持续攀升。Y2H筛选揭示C1ORF116通过N端SSYDFL基序结合GABARAPL2(LC3家族成员),并直接互作于抗氧化酶TRX与GCLC(图2)。
.jpg)
图2 C1ORF116是激素诱导的固有无序蛋白,可能作为自噬受体
功能验证证实C1ORF116过表达使还原型谷胱甘肽(reduced glutathione, GSH)水平下降40%(图3G),ROS水平升高2-3倍(图3H),且该效应可被siRNA敲低C1ORF116逆转。 更关键的是,OVOL1/2通过转录抑制ATM(下调约70%)并激活DNA-PKcs与p38-MAPK,导致DNA双链断裂标志物γH2AX呈现pan-nuclear分布,而非化疗诱导的focal模式,提示核苷酸切除修复途径激活。该通路与8-氧鸟嘌呤累积协同,使休眠细胞基因组不稳定性增加。图8模型揭示雌激素通过下调OVOL1解除休眠,而OVOL1高表达的ER阴性肿瘤因持续DNA损伤积累更易复发。
.jpg)
图3 C1ORF116结合GABARAPL2、GCLC和TRX,其过表达增加胞内ROS并降低谷胱甘肽
总结
本研究开创性地将MET转录程序与氧化还原调控、DNA损伤应答及自噬降解系统整合,揭示了休眠癌细胞生存的"双刃剑"机制。其鉴定C1ORF116为OVOL1/2调控的自噬受体,阐明其通过降解TRX/GCLC打破氧化还原稳态,使ROS累积至DNA氧化损伤阈值,为休眠细胞积累驱动复发的突变负荷提供直接分子证据;揭示OVOL1/2通过转录抑制ATM、激活DNA-PKcs/p38-MAPK,构建独特的pan-nuclear γH2AX修复模式,区别于传统化疗诱导的DSB应答,解释了为何休眠细胞能耐受DNA损伤而不凋亡;确立雌激素-OVOL1轴为休眠退出开关,为内分泌治疗后复发提供机制解释。尽管研究未直接在体内追踪休眠到复发的动态过程,且C1ORF116的LIR基序在体内的选择性自噬功能需进一步验证,但其构建了从转录因子到代谢-基因组不稳定性的完整链条,为开发靶向OVOL1-C1ORF116轴的休眠锁定策略、预防复发提供了理论基石与药物靶点。
参考文献
[1] DRAGO-GARCIA D, GIRI S, CHATTERJEE R, et al. Re-epithelialization of cancer cells increases autophagy and DNA damage: Implications for breast cancer dormancy and relapse[J]. Science Signaling, 2025, 18(892): eado3473. DOI: 10.1126/scisignal.ado3473.
“医学论坛网”发布医学领域研究成果和解读,供专业人员科研参考,不作为诊疗标准,使用需根据具体情况评估。
copyright©医学论坛网 版权所有,未经许可不得复制、转载或镜像
京ICP证120392号 京公网安备110105007198 京ICP备10215607号-1 (京)网药械信息备字(2022)第00160号