为何癌症风险随年龄攀升,却在高龄人群中意外回落?这一流行病学悖论困扰学界数十年。当驱动突变积累理论无法完全解释癌症发病率曲线的拐点,衰老本身的生物学效应便成为关键未知变量。
为何癌症风险随年龄攀升,却在高龄人群中意外回落?这一流行病学悖论困扰学界数十年。当驱动突变积累理论无法完全解释癌症发病率曲线的拐点,衰老本身的生物学效应便成为关键未知变量。
癌症与衰老的悖论待解,基因工程小鼠模型能否剥离突变积累效应?
癌症流行病学呈现一个耐人寻味的非单调曲线:60岁以上人群占新发癌症病例的绝大多数,但当年龄突破80岁门槛,发病率与死亡率却出现明显回落。传统理论将年龄相关性癌症风险上升归因于体细胞突变随时间线性累积,这一观点自1953年Nordling与Armitage-Doll提出多阶段致癌模型以来,始终是领域的主流范式。然而,突变累积假说难以解释为何在生命极晚期,致癌速率反而减缓?更关键的是,衰老过程伴随的表观遗传重塑、代谢重编程、免疫微环境改变和细胞衰老等分子特征,与癌症的发生发展存在深刻而复杂的交织,但这些因素是否直接影响肿瘤生物学,长期以来缺乏精确因果证据。
肺癌作为年龄依赖性最强的癌种之一,其发病高峰与年龄曲线的拐点现象尤为显著。既往研究多依赖人群数据或细胞系实验,无法区分"突变累积"与"组织衰老"这两个混杂变量——老年人不仅携带更多突变,其肺部微环境与年轻个体存在本质差异。这种混杂使得衰老对肿瘤的真实影响始终笼罩在迷雾中。基因工程小鼠模型虽可精确控制致癌驱动突变的诱导时间,但此前从未系统评估过年龄对肿瘤抑制基因功能谱的系统性重塑。特别是PI3K-AKT通路这一核心致癌轴的年龄依赖性调控,以及PTEN等关键抑癌基因在不同生命阶段的作用强度变化,均缺乏体内功能学证据。这些空白直接制约了老年癌症患者精准治疗策略的开发,毕竟针对年轻肿瘤群体筛选的靶向药物,可能完全忽视了衰老组织对药物响应的根本性差异。

2025年9月,《自然-衰老》发表的一项研究首次在体内模型中剥离了突变积累与年龄因素的纠缠,揭示衰老组织竟能主动抑制肿瘤生长,并重塑肿瘤抑制基因的功能格局。
整合条形码示踪与CRISPR筛选,小鼠模型量化衰老对肿瘤抑制
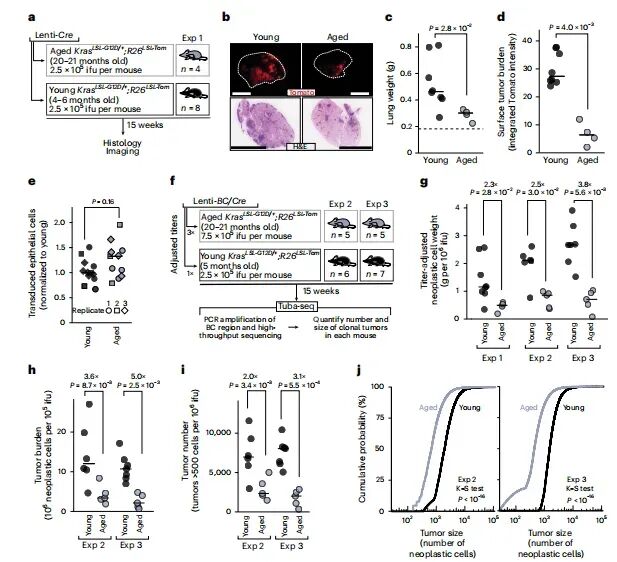
本研究是一项利用基因工程小鼠模型开展的前瞻性体内功能基因组学研究,旨在精确量化衰老对KRAS驱动型肺癌发生、生长及肿瘤抑制基因功能谱的影响。研究团队构建了三重转基因小鼠体系:携带条件性KRASG12D致癌等位基因(KrasLSL-G12D/+)、Cre诱导型tdTomato报告基因(Rosa26LSL-Tomato)以及广谱表达Cas9核酸酶(H11LSL-Cas9),从而允许通过气管内滴注慢病毒Cre载体实现时空可控的肿瘤起始与同步多重基因编辑。实验设计涵盖年轻组(4-6月龄,对应人类早期成年)与老年组(20-21月龄,对应人类分子衰老表型全面显现阶段),通过调整慢病毒滴度确保两组肿瘤负荷可比,为分子机制分析提供充足样本。
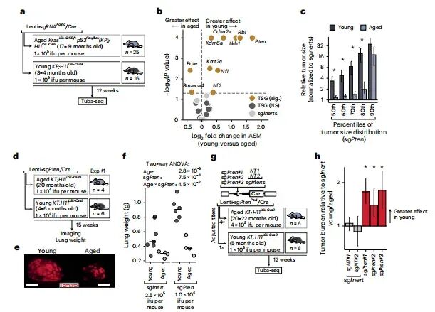
样本纳入严格限定C57BL/6背景小鼠,雌雄均衡分配以排除性别混杂。干预措施核心为肿瘤条形码耦合高通量测序技术(Tuba-seq),该技术通过慢病毒载体携带的8核苷酸独特标识符(sgID)标记每个肿瘤克隆,结合20核苷酸随机条形码追踪细胞扩增,可在单只小鼠体内并行定量数千个独立肿瘤的大小与数量。研究首先使用非靶向sgRNA载体(sgInert)验证年龄对单纯KRAS驱动肿瘤的影响;继而构建含25个已知或候选肿瘤抑制基因靶向sgRNA的混合病毒池(Lenti-sgRNAAging/Cre),每条sgRNA配以独特条形码,实现体内多重CRISPR筛选。为排除Cas9切割本身的年龄依赖性毒性干扰,增设"安全靶向"sgRNA对照组。评价指标包括:主要终点为肿瘤负荷(所有克隆肿瘤细胞总数)、肿瘤数量(>500细胞的克隆数)及肿瘤大小分布;次要终点为适应性采样均值(ASM)——一种整合肿瘤起始与生长效应的相对适合度指标,用于量化各基因失活的年龄依赖性影响强度。单细胞转录组测序(scRNA-seq)进一步解析衰老与PTEN缺失对癌细胞内在状态及肿瘤微环境的调控机制。
衰老使肿瘤负荷锐减3倍,PTEN失活效应为何在老年小鼠中显著弱化?
本研究通过多维度体内功能学证据证实,衰老不仅显著抑制KRAS驱动型肺癌的起始与生长,更系统性地重塑了肿瘤抑制基因的功能层级。首先,在单纯KRAS激活模型中,老年小鼠肿瘤负荷降低至年轻组的1/3,且肿瘤平均体积缩小近50%,这一效应独立于病毒转导效率差异(图1)。Tuba-seq精确显示,老年组肿瘤数量减少2-3倍,总肿瘤细胞数下降4-5倍,且肿瘤体积分布整体左移(K-S检验P<10-16),表明衰老从肿瘤起始和克隆扩增两个层面施加抑制。组织学分级分析证实年轻与老年肿瘤恶性程度无差异,排除了分化状态混杂。该结果首次在体内证实,衰老组织自身具备强大的抗肿瘤生物学程序,且该程序在致癌突变存在下依然持续发挥作用。

图1 年龄会抑制由致癌性 KRAS 基因驱动的肺癌的发病和生长
更引人注目的是,CRISPR筛选揭示了肿瘤抑制基因功能的年龄依赖性衰减。在评估的25个基因中,PTEN、p53、Nf1等经典抑癌基因的失活效应在老年小鼠中显著减弱。具体而言,PTEN缺失在年轻小鼠中使肿瘤负荷增加近4倍,而在老年小鼠中仅增加1.5倍,其效应强度下降幅度居所有基因之首(bootstrappedP<10-4)。适应性采样分析显示,PTEN失活的肿瘤大小百分位数分布在各区间均呈现显著的年龄差异,90th百分位差异P=6.0×10-4。这种效应在p53缺失背景下依然稳健——KRAS;p53双突变模型(KP鼠)中,PTEN失活的年龄依赖性减弱依然存在(图2b,c),证实该现象不受p53状态影响。单基因验证实验通过三条独立sgRNA靶向Pten,均重复出一致的年龄效应(图2h),排除了脱靶干扰。统计学敏感性分析显示,无论采样数量上下浮动50%或采用scoreRGM替代算法,PTEN的年龄交互作用始终显著,结果鲁棒性极强。

图2 Pten对肿瘤抑制作用随年龄变化的差异情况
单细胞转录组测序为上述表型提供了分子解释。衰老癌细胞并未因致癌转化而丢失年龄印记,反而全面保留并强化了正常肺上皮衰老特征,包括Angelidis、Tabula Muris及Global Aging基因集显著富集(NES>2.0,P<0.001)。通路活性分析揭示,老年癌细胞MAPK信号减弱,这与KRAS驱动增殖能力下降相符。关键发现是PTEN失活虽在年轻与老年组中同等激活PI3K通路,但其下游转录后果呈现年龄特异性:老年sgPten癌细胞中,约40%的年龄上调基因被逆转下调,约30%的年龄下调基因被逆转上调,整体年龄评分向年轻sgInert状态回退。这种"年轻化"效应同样波及肿瘤微环境:老年小鼠PTEN缺失肿瘤中,肺泡巨噬细胞与内皮细胞的年龄相关转录改变被显著削弱。免疫组化显示,老年肿瘤CD45⁺、B220⁺、CD4⁺、CD8⁺浸润细胞密度增加,提示免疫微环境参与调控。值得注意的是,衰老标志如p16INK4a等衰老相关分泌表型(SASP)基因在老年癌细胞中并未富集,且p53、Cdkn2a失活效应未随年龄增强,明确排除了细胞衰老作为衰减机制的核心驱动。
总结
该研究通过精密的体内功能基因组学设计,首次在控制突变负荷的前提下,确立了衰老对肺癌发生的直接抑制效应,并系统描绘了肿瘤抑制基因功能的年龄依赖性重塑图谱。核心价值在于揭示了PTEN-PI3K轴的年龄特异性脆弱性:老年组织对该通路的致癌潜力呈现天然抵抗,其机制并非通过减弱PI3K信号本身,而是通过重构下游转录网络与微环境互作,使衰老癌细胞在PTEN缺失后仍保留部分"年轻态"分子特征。这一发现颠覆了传统认知——既往认为PI3K信号亢进与寿命缩短相关,而本研究提示在特定年龄背景下,PTEN失活竟能"逆转"衰老表型,凸显了衰老与致癌通路交互的复杂性。从转化医学视角,研究暗示老年肺癌患者可能对PI3K通路抑制剂响应不同于年轻群体,且肿瘤进化压力在老年患者中被生理衰老程序部分抵消,这为老年癌症治疗靶点选择、免疫治疗策略优化及抗衰老-抗癌干预的权衡提供了关键理论依据。
参考文献
SHULDINER E G, KARMAKAR S, TSAI M K, et al. Aging represses oncogenic KRAS-driven lung tumorigenesis and alters tumor suppression[J]. Nature Aging, 2025. DOI: 10.1038/s43587-025-00986-z.
“医学论坛网”发布医学领域研究成果和解读,供专业人员科研参考,不作为诊疗标准,使用需根据具体情况评估。
copyright©医学论坛网 版权所有,未经许可不得复制、转载或镜像
京ICP证120392号 京公网安备110105007198 京ICP备10215607号-1 (京)网药械信息备字(2022)第00160号